Skip to main content

South End Halifax Endodontics

Endodontics in South End Halifax

A severe toothache could mean a tooth is damaged and has become infected. Left untreated, the infection could cause the loss of the tooth. Learn how root canal treatment can save the tooth from needing to be extracted.

Endodontics in South End Halifax
Image
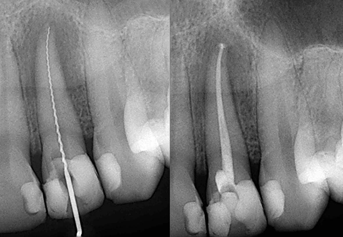
Root Canal Treatment

Root Canal Treatment

A damaged or cracked tooth can become infected, resulting in complications like severe toothache, an abscess forming above the tooth, or tooth loss. Damage to the tooth can result in bacteria entering the tooth and spreading, causing an infection of the soft tissues inside the tooth. This infection can spread into your gums and the bone surrounding the tooth's root. If left untreated, the infection can result in gum disease or the eventual loss of the tooth.

Video: Root Canals

What to Expect During Root Canal Therapy

Root canal treatment involves the removal of the soft inner tissue of the tooth, also called the pulp. Your dentist will drill a tiny hole in the affected tooth and remove the pulp using special tools. After the pulp is removed, your dentist will clean the inside of the tooth to prevent further infection, fill the tooth with material, and seal the hole with a filling. After the procedure, your dentist will restore the tooth with a temporary dental crown while a permanent crown is being made.

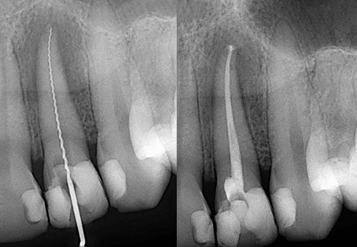
Image
root canal image

Frequently Asked Questions

Symptoms of infection include severe toothache, increased sensitivity to temperature or pressure, or sore or bleeding gums around the tooth. Infections can also occur without symptoms and can only be detected during a regular dental examination.

Many patients say root canal treatment is similar to getting a tooth filled. Your dentist will administer a local anesthetic before performing the root canal, so the procedure is painless. You may feel some pain when the anesthetic wears off. You can use over-the-counter pain medication to manage your discomfort. If you experience severe pain in the treatment area, or if the area remains painful after several days, contact our office.

The root canal treatment should last a lifetime if the tooth isn’t damaged again. The crown will last 10-20 years, depending on your eating and dental hygiene habits. Brush and floss the treated tooth as you would your natural teeth.

Book an Appointment